在工作中,经常会碰到患者问,颈动脉斑块是什么?严重吗?要吃药手术吗?下面我们就这些问题展开来聊聊。
1、颈动脉内中膜是什么?
颈动脉内中膜是指颈动脉内膜管腔面与外膜分界面之间的距离。临床上通过彩色多普勒超声诊断仪(简称彩超)检查颈动脉内中膜厚度(IMT)IMT≥1.0mm为内中膜增厚
2、什么是颈动脉斑块?
颈动脉斑块又叫颈动脉粥样硬化斑块,颈动脉斑块是颈动脉壁内发生脂肪聚集,聚集的脂肪逐渐增多,同时合并有含钙类物质的沉积,导致颈动脉血管局部增厚、变硬,最终导致血管内产生了外观呈现黄色,内部像粥一样的斑块,这一过程在医学上又称作动脉粥样硬化(打个比方,它的形成是就像水在水管里流动,时间长了,水管壁上会沉积大量的水垢,颈动脉就像是水管,我们的血液在血管里不停流动,血管里的“杂质”就会慢慢沉积在血管壁上,就像是水管里的水锈和污垢,时间久了血管就会狭窄和堵塞)。
2004和2006年的欧洲中风疾病年会统一了颈动脉IMT的定义和斑块的区别:颈动脉IMT≥1.0mm为内中膜增厚;颈动脉粥样硬化斑块是:①IMT局部向腔内突出至少0.5mm②或者与周围的IMT对比大于50% ③或者IMT≥1.5mm。
3、报告上的斑块有哪些?
超声报告中“低回声”、“强回声”和“混合回声”是啥意思?这几个词语是超声检查的术语。不能简单理解为低回声就是不稳定斑块;强回声就是稳定斑块;而混合回声就是半稳定斑块。研究表明,回声的高低强弱与动脉硬化斑块的稳定性之间不存在对应的规律。因为颈动脉斑块不同成分对声波的吸收及反射不同,才导致颈动脉斑块超声表现也不尽相同:低回声斑块:含有大量脂类物质的纤维脂肪的斑块;等回声斑块:以胶原蛋白为主要构成成分的纤维斑块;强回声斑块:斑块钙化时,斑块产生强反射伴后壁声影;不均质回声斑块:斑块内有20%以上的回声不一致,斑块内包含强、中、低回声。
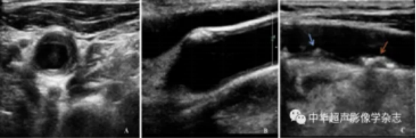
不同颈动脉斑块回声灰阶超声图像 A:颈动脉低回声斑块图像;B:颈动脉强回声斑块图像;C:颈动脉混合回声斑块图像,蓝色箭头表示低回声为主混合回声斑块,红色箭头表示高回声为主混合回声斑块。
4、发现颈动脉斑块该怎么办?
1.如果颈动脉斑块较小,血管狭窄50%以下,无大脑缺血症状,血脂在正常范围内,一般不用担心。可根据个人情况考虑是否需要治疗,具体请遵医嘱;2.如果颈动脉斑块较大,血管狭窄50%以上,可能出现斑块破裂或大脑供血不足,需要药物治疗,并严格控制危险因素;3.如果颈动脉斑块大,血管狭窄达到70%,通常会对脑供血产生明显影响,即便没有症状,也需积极治疗。
5、如何预防颈动脉斑块?





